

Allie
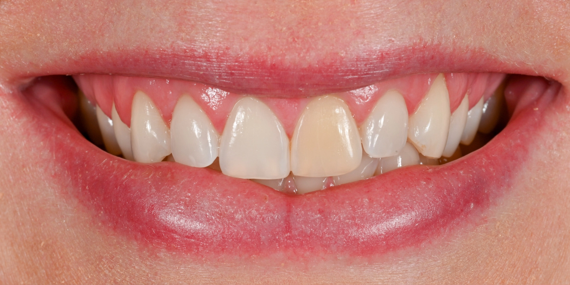
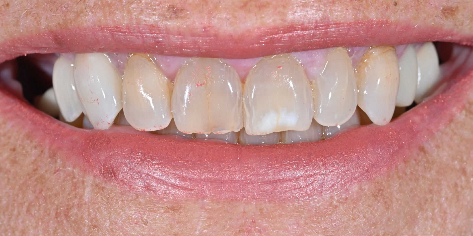
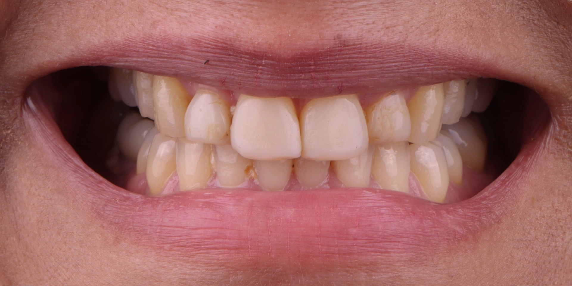
10 Porcelain Veneers
.webp)
At Davis Dental Aesthetics, we believe that every smile tells a story, and we’re honored to be part of each one. Whether patients come to us for restorative, cosmetic, or full-smile rehabilitation, our goal is always the same: to deliver beautifully natural results that reflect who they are. Browse our gallery to see how expert care, personalized design, and a concierge experience can transform confidence from the inside out.


10 Porcelain Veneers


10 Feldspathic Porcelain Veneers


4 Feldspathic Porcelain Veneers


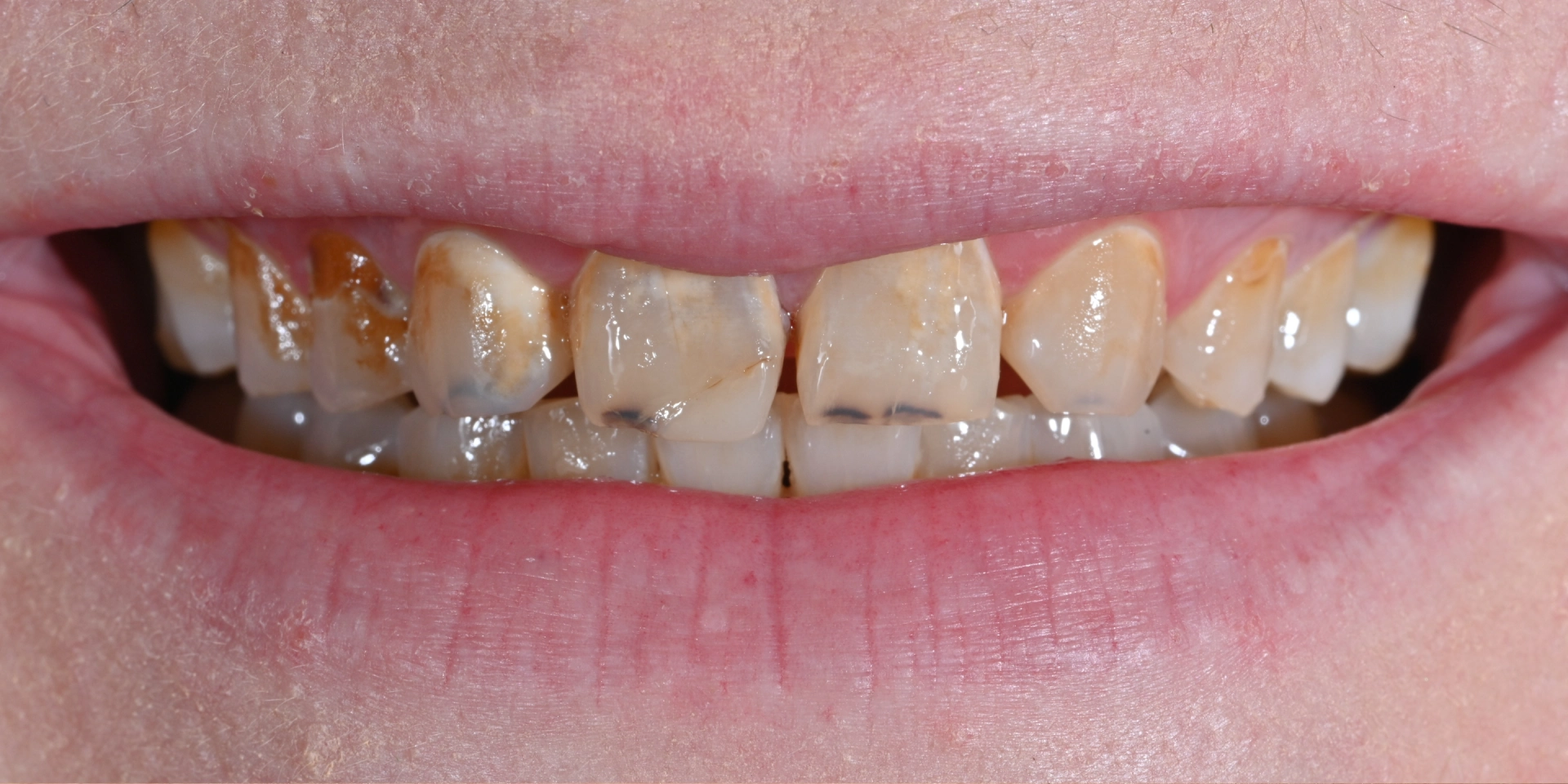
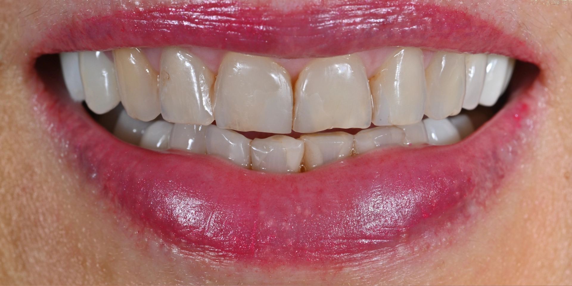
22 Porcelain Veneers and Crowns


10 Feldspathic Porcelain Veneers


Full Upper and Lower Porcelain Smile Makeover


8 Upper and 8 Lower Porcelain Veneers


10 Upper Porcelain Veneers


8 Upper Porcelain Veneers


10 Upper Porcelain Crowns


4 Porcelain Veneers


10 Porcelain Veneers


2 Implant Crowns and Porcelain Crowns


20 Porcelain Veneers and Crowns


Full Upper and Lower Smile Makeover


10 Upper Porcelian Veneers


Removable Upper Denture


Full Upper and Lower Smile Makeover with Porcelain Veneers and Crowns


Full Upper and Lower Smile Makeover with Porcelain Veneers and Crowns


8 Upper Porcelain Veneers


Full Smile Makeover with Porcelain Veneers and Crowns


8 Porcelain Veneers


8 Upper and Lower Porcelain Crowns


Full Smile Makeover Upper and Lower


10 Upper and 10 Lower Porcelain Veneers


Full Upper and Lower Smile Makeover


10 Porcelain Veneers


4 Porcelain Veneers


20 Porcelain Veneers and Implant Crowns
Your transformation could be next. If you're ready to rediscover your smile, we’d love to help.
%20(1).webp)